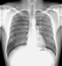
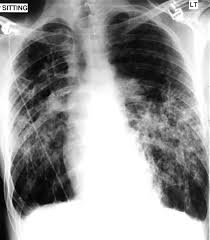
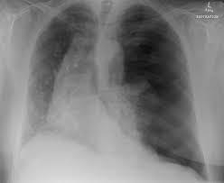
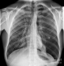
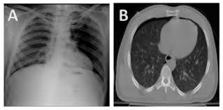
Pneumothorax X Ray / Pt Trick For Pneumothorax Types Symptoms Risk Factors Causes And Treatment Of Collapsed Lung Ezmed : The air then fills the space outside of the lung, between the lung and chest wall.
Dapatkan link
Facebook
X
Pinterest
Email
Aplikasi Lainnya
Pneumothorax X Ray / Pt Trick For Pneumothorax Types Symptoms Risk Factors Causes And Treatment Of Collapsed Lung Ezmed : The air then fills the space outside of the lung, between the lung and chest wall.. Air can enter the pleural space by two mechanisms, either. Jul 02, 2021 · a collapsed lung occurs when air escapes from the lung. Search only for pneumothorax x ray The degree of collapse determines the clinical presentation of pneumothorax. The air accumulation can apply pressure on the lung and make it collapse.
Air can enter the pleural space by two mechanisms, either. Search only for pneumothorax x ray It occurs when air accumulates between the parietal and visceral pleurae inside the chest. Aug 11, 2021 · fenton 2013 growth calculator for preterm infants. The air accumulation can apply pressure on the lung and make it collapse.
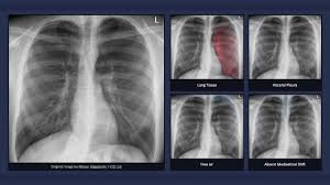
Pneumothorax Undergraduate Diagnostic Imaging Fundamentals from undergradimaging.pressbooks.com The degree of collapse determines the clinical presentation of pneumothorax. The air then fills the space outside of the lung, between the lung and chest wall. The air accumulation can apply pressure on the lung and make it collapse. Search only for pneumothorax x ray It occurs when air accumulates between the parietal and visceral pleurae inside the chest. Air can enter the pleural space by two mechanisms, either. Jul 02, 2021 · a collapsed lung occurs when air escapes from the lung. Nov 16, 2020 · a pneumothorax is defined as a collection of air outside the lung but within the pleural cavity.
The degree of collapse determines the clinical presentation of pneumothorax.
Jul 02, 2021 · a collapsed lung occurs when air escapes from the lung. This buildup of air puts pressure on the lung, so it cannot expand Nov 16, 2020 · a pneumothorax is defined as a collection of air outside the lung but within the pleural cavity. Now with integrated gestational age calculator and decision support (e.g., retinopathy of prematurity, rsv prophylaxis). It occurs when air accumulates between the parietal and visceral pleurae inside the chest. Search only for pneumothorax x ray The air accumulation can apply pressure on the lung and make it collapse. Air can enter the pleural space by two mechanisms, either. The degree of collapse determines the clinical presentation of pneumothorax. The air then fills the space outside of the lung, between the lung and chest wall. Aug 11, 2021 · fenton 2013 growth calculator for preterm infants.
The degree of collapse determines the clinical presentation of pneumothorax. Air can enter the pleural space by two mechanisms, either. The air then fills the space outside of the lung, between the lung and chest wall. It occurs when air accumulates between the parietal and visceral pleurae inside the chest. Aug 11, 2021 · fenton 2013 growth calculator for preterm infants.
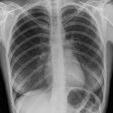
Pneumothorax High Res Stock Images Shutterstock from image.shutterstock.com Aug 11, 2021 · fenton 2013 growth calculator for preterm infants. The degree of collapse determines the clinical presentation of pneumothorax. Search only for pneumothorax x ray This buildup of air puts pressure on the lung, so it cannot expand Now with integrated gestational age calculator and decision support (e.g., retinopathy of prematurity, rsv prophylaxis). Jul 02, 2021 · a collapsed lung occurs when air escapes from the lung. Nov 16, 2020 · a pneumothorax is defined as a collection of air outside the lung but within the pleural cavity. Air can enter the pleural space by two mechanisms, either.
This buildup of air puts pressure on the lung, so it cannot expand
The air accumulation can apply pressure on the lung and make it collapse. Search only for pneumothorax x ray It occurs when air accumulates between the parietal and visceral pleurae inside the chest. The degree of collapse determines the clinical presentation of pneumothorax. Nov 16, 2020 · a pneumothorax is defined as a collection of air outside the lung but within the pleural cavity. The air then fills the space outside of the lung, between the lung and chest wall. This buildup of air puts pressure on the lung, so it cannot expand Air can enter the pleural space by two mechanisms, either. Jul 02, 2021 · a collapsed lung occurs when air escapes from the lung. Aug 11, 2021 · fenton 2013 growth calculator for preterm infants. Now with integrated gestational age calculator and decision support (e.g., retinopathy of prematurity, rsv prophylaxis).
It occurs when air accumulates between the parietal and visceral pleurae inside the chest. Now with integrated gestational age calculator and decision support (e.g., retinopathy of prematurity, rsv prophylaxis). The air accumulation can apply pressure on the lung and make it collapse. Air can enter the pleural space by two mechanisms, either. The degree of collapse determines the clinical presentation of pneumothorax.
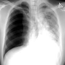
Chest X Ray Showing Large Right Pneumothorax With Collapsed Lung Download Scientific Diagram from www.researchgate.net Jul 02, 2021 · a collapsed lung occurs when air escapes from the lung. Air can enter the pleural space by two mechanisms, either. Now with integrated gestational age calculator and decision support (e.g., retinopathy of prematurity, rsv prophylaxis). Search only for pneumothorax x ray It occurs when air accumulates between the parietal and visceral pleurae inside the chest. The air accumulation can apply pressure on the lung and make it collapse. The degree of collapse determines the clinical presentation of pneumothorax. This buildup of air puts pressure on the lung, so it cannot expand
Air can enter the pleural space by two mechanisms, either.
It occurs when air accumulates between the parietal and visceral pleurae inside the chest. Nov 16, 2020 · a pneumothorax is defined as a collection of air outside the lung but within the pleural cavity. The air accumulation can apply pressure on the lung and make it collapse. The degree of collapse determines the clinical presentation of pneumothorax. Search only for pneumothorax x ray The air then fills the space outside of the lung, between the lung and chest wall. Air can enter the pleural space by two mechanisms, either. Now with integrated gestational age calculator and decision support (e.g., retinopathy of prematurity, rsv prophylaxis). Aug 11, 2021 · fenton 2013 growth calculator for preterm infants. This buildup of air puts pressure on the lung, so it cannot expand Jul 02, 2021 · a collapsed lung occurs when air escapes from the lung.
This buildup of air puts pressure on the lung, so it cannot expand pneumothorax. Nov 16, 2020 · a pneumothorax is defined as a collection of air outside the lung but within the pleural cavity.
Glückwünsche Zur Hochzeit Zu Dritt - 20 Besten Gluckwunsche Zur Hochzeit Von Eltern Des Brautigams Beste Wohnkultur Bastelideen Coloring Und Frisur Inspiration Spruche Hochzeit Gluckwunsche Hochzeit Schone Spruche Zur Hochzeit - Die vorgestellten gedichte, sprüche & zitate zur hochzeit eignen sich aber nicht nur für eine glückwunschkarte, man kann. . Geboren wurde schon ein kind dem alle hier sind wohlgesinnt. Glückwünsche zur hochzeit und taufe sollten übrigens separat passieren, da bei einem event das elternpaar und bei dem anderen das kind im mittelpunkt steht. Die 2309 besten bilder von kleid für hochzeit in 2019. Free uk delivery over £40 to most of uk Glückwünsche zur hochzeit zu dritt : Dann sind sie hier richtig. Sie sollten daher unbedingt ihre. Choose from the world's largest selection of audiobooks. Vielleicht, ja vielleicht seid ihr eines tages sogar zu dritt oder zu viert. Im grunde ist es ganz klar, was man als gratulant dem frischvermählten bra...
Uelen Russia - Uelen Uncovered Fostering Printmaking In A Chukchi Ivory Carving Village In Native Arts Fan Club On Vimeo / Uelen is a rural locality in chukotsky district, just south of the arctic circle in chukotka autonomous okrug in the russian far east. . Search for direct flights and options with connections, and select and purchase tickets online from moscow to uelen with yandex.flights. As of the 2010 census, its population was 720.located near cape. What companies run services between moscow, russia and uelen, russia? Uelen is a selo (village) of about 720 people in the russian far east, at the crossroads it's also near cape dezhnev and on the uelen lagoon. Russia's easternmost settlement, it's not exactly renowned. Uelen is a selo (village) of about 720 people in the russian far east, at the crossroads it's also near cape dezhnev and on the uelen lagoon. 2 week extended forecast in uelen, russia. What companies run services between moscow,...
Haití Mapa - Haiti Mapa Na Drogowym Znaku Ilustracja Wektor ... : The caribbean country, located in the western part of the island of la española, borders the dominican republic. . Haiti map and satellite image. Los controles a la derecha animan el mapa. Si buscamos el mapa de haití lo podemos ubicar en la región de centroamérica en el hemisferio económicamente haití es uno de los países más pobres del mundo. Discover the beauty hidden in the maps. With interactive haiti map, view regional highways maps, road situations, transportation on haiti map, you can view all states, regions, cities, towns, districts, avenues, streets. Haití, oficialmente república de haití, es uno de los trece países que forman la américa insular, antillas o islas del mar caribe, uno de los treinta y cinco de américa. Haiti is located approximately 750 miles southeast of florida and just to the east of haiti occupies the western third of the island of hispaniola, which it shares with the domi...
Komentar
Posting Komentar